Back
RADIOGRAPHIC
QUIZ 1 - ANSWERS
(This quiz has been reproduced from the book "Self-Assessment
Colour Review of Small Animal Orthopaedics" by Lewis Parker &
Bloomberg with the kind permission of the Publishers "Manson
Publishing". This Book contains over 180 Questions
First broadcast on www.provet.co.uk
|
DIFFERENTIAL DIAGNOSIS LIST 
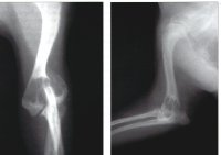
The
radiographs show marked osteolysis of the distal humeral metaphysis with
endosteal cortical lysis and absence of periosteal expansion. There is also a
Salter-Harris type IV fracture involving the lateral portion of the humeral
condyle with proximolateral displacement. The
differential diagnosis list should include :
- Unicameral bone cyst
- Aneurysmal bone cyst
- Osteosarcoma
- Chondrosarcoma
- Osteomyelitis
- Fibrosarcoma
- Haemangioma
- Haemangiosarcoma
- Fibrous dysplasia (monostotic)
- Non-union fracture
|